เปิดตัว Medical AI Data Platform ชวนโรงพยาบาล แชร์-เชื่อม-ใช้ ภาพทางการแพทย์ 2.2 ล้านภาพ

Share to...
Facebook
X

กระทรวง อว. จับมือ สธ. โดย สวทช. ม.มหิดล กรมการแพทย์ และพันธมิตร เปิดตัว Medical AI Data Platform ชวนโรงพยาบาล แชร์-เชื่อม-ใช้ ภาพทางการแพทย์ 2.2 ล้านภาพ หวังเป็นแพลตฟอร์มกลางที่ใช้ AI เป็นตัวช่วยคัดกรอง-หมอวินิจฉัยโรครวดเร็ว

(วันที่ 21 เมษายน 2568) โรงแรมแกรนด์ เซ็นเตอร์ พอยต์ ลุมพินี กรุงเทพฯ: กระทรวงการอุดมศึกษา วิทยาศาสตร์ วิจัยและนวัตกรรม (อว.) โดย สำนักงานพัฒนาวิทยาศาสตร์และเทคโนโลยีแห่งชาติ (สวทช.) ศูนย์เทคโนโลยีอิเล็กทรอนิกส์และคอมพิวเตอร์แห่งชาติ (เนคเทค) เดินหน้าขับเคลื่อนการใช้ปัญญาประดิษฐ์ (AI) ในภาคสาธารณสุข โดยมีนางสาวศุภมาส อิศรภักดี รัฐมนตรีว่าการกระทรวง อว. กล่าวถึงนโยบาย อว. for AI และเป็นสักขีพยานในการประกาศความร่วมมือกับพันธมิตรทางการแพทย์ ประกอบด้วย กรมการแพทย์ กระทรวงสาธารณสุข และ คณะแพทยศาสตร์โรงพยาบาลรามาธิบดี มหาวิทยาลัยมหิดล พร้อมด้วยภาคีเครือข่าย Medical AI Consortium ซึ่งภายในงานมีการ เปิดตัว “แพลตฟอร์มข้อมูลกลางทางการแพทย์ (Medical AI Data Platform)” อย่างเป็นทางการ ที่มุ่งสร้างโครงสร้างพื้นฐานและระบบนิเวศข้อมูลที่เข้มแข็ง รองรับการพัฒนานวัตกรรม AI ทางการแพทย์เพื่อคนไทย โดยมี พญ.เพชรดาว โต๊ะมีนา ที่ปรึกษารัฐมนตรีว่าการกระทรวง อว. ผู้ช่วยศาสตราจารย์พิเศษ นายแพทย์ธนินทร์ เวชชาภินันท์ รองอธิบดีกรมการแพทย์ กระทรวงสาธารณสุข ศาสตราจารย์ นายแพทย์ปิยะมิตร ศรีธรา อธิการบดีมหาวิทยาลัยมหิดล ศาสตราจารย์ ดร.ชูกิจ ลิมปิจำนงค์ ผู้อำนวยการ สวทช. ศาสตราจารย์ ดร.สมปอง คล้ายหนองสรวง ผู้อำนวยการสำนักงานคณะกรรมการส่งเสริมวิทยาศาสตร์วิจัยและนวัตกรรม (สกสว.) ดร.ณิรวัฒน์ ธรรมจักร์ ผู้อำนวยการหน่วยบริหารและจัดการทุนด้านการพัฒนากำลังคน และทุนด้านการพัฒนาสถาบันอุดมศึกษาการวิจัยและการสร้างนวัตกรรม (บพค.) ดร.ชัย วุฒิวิวัฒน์ชัย ผู้อำนวยการ เนคเทค สวทช. และหน่วยงานที่เกี่ยวข้อง ร่วมงานแถลงข่าว

นางสาวศุภมาส อิศรภักดี รัฐมนตรีว่าการกระทรวง อว. กล่าวว่า “กระทรวง อว. ให้ความสำคัญอย่างยิ่งกับการขับเคลื่อนเทคโนโลยีปัญญาประดิษฐ์ผ่านนโยบาย ‘อว. for AI’ ซึ่งมุ่งสร้างระบบนิเวศ AI ที่ครบวงจร การแพทย์เป็นเป้าหมายสำคัญที่ AI จะช่วยเพิ่มความแม่นยำ รวดเร็ว และลดความเหลื่อมล้ำในการเข้าถึงบริการสุขภาพ การสนับสนุนการจัดตั้ง Medical AI Consortium ผ่านทุนวิจัยจากหน่วยบริหารและจัดการทุนด้านการพัฒนากำลังคน และทุนด้านการพัฒนาสถาบันอุดมศึกษาการวิจัยและการสร้างนวัตกรรม (บพค.) เพื่อพัฒนา Medical AI Data Platform ถือเป็นการลงทุนในโครงสร้างพื้นฐานที่สำคัญยิ่งของประเทศ แพลตฟอร์มนี้ไม่ได้เป็นเพียงคลังข้อมูล แต่ยังประกอบด้วยเครื่องมือที่พัฒนาโดย สวทช. ซึ่งจะช่วยให้นักวิจัยและแพทย์สามารถพัฒนานวัตกรรม AI ได้ง่ายขึ้น ถือเป็นภารกิจสำคัญในการสร้างรากฐาน AI การแพทย์ที่มั่นคงของประเทศ จึงขอเชิญชวนโรงพยาบาลและโรงเรียนแพทย์ร่วมแบ่งปันข้อมูลและระบุโจทย์ที่สำคัญ และนักวิจัยด้านวิทยาศาสตร์และเทคโนโลยีมาร่วมพัฒนาโมเดล AI ที่ใช้ได้จริง เพื่อร่วมกันยกระดับสาธารณสุขไทยให้ก้าวทันโลก และใช้ประโยชน์จาก AI ได้อย่างเต็มศักยภาพ”

ศาสตราจารย์ ดร.ชูกิจ ลิมปิจำนงค์ ผู้อำนวยการ สวทช. กล่าวว่า “สวทช. มีพันธกิจในการนำวิทยาศาสตร์และเทคโนโลยีมายกระดับคุณภาพชีวิตและเพิ่มขีดความสามารถในการแข่งขันของประเทศ Medical AI Consortium และ แพลตฟอร์มข้อมูลกลางทางการแพทย์ ที่พัฒนาขึ้นนี้ คือ ตัวอย่างของการ บูรณาการความเชี่ยวชาญด้านดิจิทัลและ AI ของ สวทช. เข้ากับความรู้ทางการแพทย์จากพันธมิตร เพื่อสร้างโครงสร้างพื้นฐานที่แข็งแกร่ง ตัวอย่างของเทคโนโลยีอย่าง RadiiView และ NomadML ที่พัฒนาโดยนักวิจัยเนคเทค สวทช. จะช่วยปลดล็อกให้นักวิจัยและแพทย์ไทยสามารถสร้างสรรค์นวัตกรรม AI ได้เอง ลดการพึ่งพาเทคโนโลยีจากต่างประเทศ และนำไปสู่ AI ทางการแพทย์ที่ตอบโจทย์บริบทของประเทศไทยอย่างแท้จริง”

แพลตฟอร์มข้อมูลกลางทางการแพทย์ (Medical AI Data Platform)

แพลตฟอร์มข้อมูลกลางทางการแพทย์ (Medical AI Data Platform) พัฒนาโดยเนคเทค สวทช. ประกอบด้วยเทคโนโลยีที่สนับสนุนกระบวนการพัฒนา AI ทางการแพทย์ของประเทศอย่างมีประสิทธิภาพ ครบวงจร และปลอดภัยตามมาตรฐานคลาวด์กลางภาครัฐ (GDCC) ภายใต้การดูแลของกรมการแพทย์ กระทรวงสาธารณสุข ครอบคลุม 3 ส่วนหลัก ได้แก่
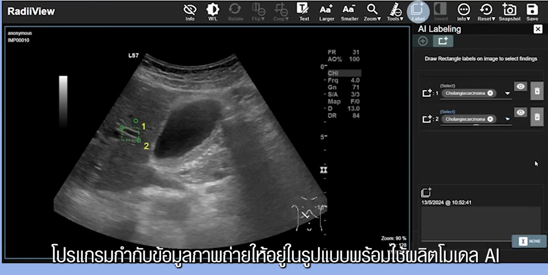
1. ส่วนบริหารจัดการข้อมูล (Data Management) รองรับการรวบรวม จัดเก็บ จัดทำรายการข้อมูลภาพทางการแพทย์อย่างปลอดภัยและเป็นระบบ มีการกำกับดูแลสิทธิ์การเข้าถึงตามหลักธรรมาภิบาลข้อมูล นอกจากนี้ นักวิจัยเนคเทค สวทช. ยังพัฒนา RadiiView ซอฟต์แวร์และคลาวด์แอปพลิเคชันสำหรับการกำกับข้อมูลภาพทางการแพทย์ (Annotation) ที่มีเครื่องมือช่วยให้แพทย์ระบุลักษณะสำคัญบนภาพได้อย่างแม่นยำ เพื่อสร้างชุดข้อมูล
2. ส่วนพัฒนาและฝึกสอน AI (AI Modeling) ผ่านแพลตฟอร์ม NomadML ที่ช่วยให้นักวิจัยสามารถพัฒนาโมเดลได้โดย ไม่ต้องเขียนโค้ดโปรแกรมที่ซับซ้อน เพียงนำชุดข้อมูลที่กำกับแล้วจาก RadiiView มาใช้บนแพลตฟอร์มนี้ ซึ่งเชื่อมต่อกับทรัพยากรประมวลผลสมรรถนะสูงอย่าง LANTA Supercomputer ของ สวทช. เพื่อเร่งกระบวนการพัฒนาโมเดล
3. ส่วนบริการ AI (AI Service Deployment) มุ่งเน้นการนำโมเดล AI ที่ผ่านการพัฒนาและตรวจสอบประสิทธิภาพแล้ว ไปสู่การใช้งานจริงในระบบบริการสุขภาพ โดยอาจให้บริการผ่าน National AI Service Platform เพื่อให้เกิดประโยชน์ในวงกว้าง

โดยแพลตฟอร์มดังกล่าว ได้รวบรวมภาพทางการแพทย์แล้วกว่า 2.2 ล้านภาพ ครอบคลุม 8 กลุ่มโรคสำคัญ ได้แก่ โรคทรวงอก, มะเร็งเต้านม (ภาพแมมโมแกรม), โรคตา (ภาพจอประสาทตา), โรคในช่องท้อง (ภาพอัลตราซาวด์), โรคผิวหนัง, โรคหลอดเลือดสมอง (ภาพ CT/MRI), และโรคกระดูกพรุน (ภาพ BMD/VFA) พร้อมทั้งพัฒนาโมเดล AI ต้นแบบแล้ว 2 บริการ ซึ่งมีศักยภาพในการช่วยแบ่งเบาภาระงานของบุคลากรทางการแพทย์ เพิ่มความแม่นยำในการวินิจฉัย และขยายโอกาสการเข้าถึงบริการสุขภาพ

ปัจจุบัน Medical AI Consortium มีสมาชิกเข้าร่วมขับเคลื่อนรวม 6 หน่วยงาน ได้แก่ กรมการแพทย์, คณะแพทยศาสตร์โรงพยาบาลรามาธิบดี ม.มหิดล, คณะแพทยศาสตร์ จุฬาลงกรณ์มหาวิทยาลัย, คณะแพทยศาสตร์ ม.สงขลานครินทร์, คณะแพทยศาสตร์ ม.เชียงใหม่ และ คณะแพทยศาสตร์วชิรพยาบาล ม.นวมินทราธิราช

อย่างไรก็ดี สวทช. และพันธมิตร เชื่อมั่นว่าความร่วมมือและการพัฒนาโครงสร้างพื้นฐานข้อมูลกลางทางการแพทย์นี้ จะเป็นปัจจัยสำคัญในการเร่งสร้างนวัตกรรม AI ทางการแพทย์ที่ใช้งานได้จริงในวงกว้าง จึงขอเชิญชวนหน่วยงานทางการแพทย์ สถาบันการศึกษา นักวิจัย และภาคเอกชน ร่วมเป็นส่วนหนึ่งของระบบนิเวศนี้ เพื่อขับเคลื่อนระบบสาธารณสุขไทยให้ก้าวหน้าต่อไป

 ศาสตราจารย์ นายแพทย์ปิยะมิตร ศรีธรา อธิการบดีมหาวิทยาลัยมหิดล กล่าวว่า ตัวอย่าง AI ที่คณะแพทยศาสตร์ศิริราชพยาบาล ร่วมกับ บริษัทสตาร์ตอัป เริ่มพัฒนาการใช้ AI เพื่อการอ่านผลภาพเอกซเรย์ทรวงอก (Chest X-ray) ทางการแพทย์และสร้างรายงานทางการแพทย์เพื่อใช้ในการวินิจฉัยความผิดปกติของภาพเอกซเรย์ทรวงอก เพื่อขยายผลการให้บริการผู้ป่วยในโรงพยาบาลศิริราช โรงพยาบาลศิริราช ปิยมหาราชการุณย์ และศูนย์การแพทย์กาญจนาภิเษก รวมทั้งโรงพยาบาลอื่น ๆ ในราคาถูกกว่าเมื่อเทียบกับการซื้อโปรแกรม AI มาจากต่างประเทศ ช่วยลดงบประมาณค่าใช้จ่ายโรงพยาบาลในประเทศไทย โดยล่าสุดเทคโนโลยีเพื่อการอ่านผลภาพเอกซเรย์ทรวงอก (Chest X-ray) ได้ผ่านมาตรฐานกับสำนักงานคณะกรรมการอาหารและยา (อย.) กระทรวงสาธารณสุขแล้ว และคณะแพทยศาสตร์ศิริราชพยาบาล กำลังพัฒนาไปยังโรคอื่น ๆ ซึ่งในอนาคตมีแผนจะดำเนินการวิจัยและพัฒนาเพื่อสร้าง AI สำหรับใช้ในโรงพยาบาลนำไปสู่การใช้ประโยชน์ทางการแพทย์ที่เหมาะสมและมีประสิทธิภาพต่อไป

อย่างไรก็ตาม Medical AI Consortium เป็นเครือข่ายสำคัญที่จะเป็นโอกาสให้ประเทศไทยดึง DATA มาร่วมแบ่งเป็นข้อมูลในการทำงานด้านการแพทย์มากยิ่งขึ้น เพื่อให้เกิดการพัฒนาข้อมูลทางการแพทย์ที่เป็นประโยชน์เพื่อให้ AI เรียนรู้ข้อมูลได้ฉลาดและแม่นยำมากขึ้น 

ด้าน นายแพทย์ธนินทร์ เวชชาภินันท์ รองอธิบดีกรมการแพทย์ กระทรวงสาธารณสุข กล่าวว่า ปัจจุบันปัญญาประดิษฐ์ (AI) ได้เข้ามามีบทบาทอย่างกว้างขวางในทุกภาคส่วน รวมถึงในวงการแพทย์ โดย AI ได้รับการยอมรับมากขึ้นในฐานะเครื่องมือสำคัญที่ช่วยเสริมประสิทธิภาพในการดูแลรักษาทางการแพทย์ ทั้งในด้านการวินิจฉัย การรักษา และการบริหารจัดการระบบสุขภาพ

ในประเทศไทยพบว่าผู้ป่วยเบาหวานกว่า 6 ล้านคน ราว 15–20% เสี่ยงภาวะเบาหวานขึ้นจอประสาทตา แต่มีจักษุแพทย์เฉพาะทางเพียง 250 คน จากข้อจำกัดดังกล่าว ได้มีการศึกษาทดลองการใช้ AI ใน 13 เขตสุขภาพจากบุคลากรทางการแพทย์เข้าร่วมการตรวจคัดกรองโรคจอประสาทตา พบว่า การตรวจโดยบุคลากรทางการแพทย์มีความไว (sensitivity) อยู่ที่ร้อยละ 74 และมีความแม่นยำ (specificity) สูงถึงร้อยละ 98 ขณะที่การตรวจโดยใช้ AI ให้ผลความไวที่สูงกว่ามาก คือประมาณร้อยละ 97 และมีความแม่นยำอยู่ที่ร้อยละ 96 ทำให้เห็นว่าระดับความแม่นยำจะใกล้เคียงกัน แต่ AI มีความสามารถในการตรวจคัดกรองโรคได้รวดเร็วและมีความไวสูงกว่า

“การนำ AI มาใช้ในการคัดกรองภาวะเบาหวานขึ้นจอประสาทตาสามารถช่วยลดระยะเวลาการรอคอยในการเข้ารับการตรวจ เพิ่มโอกาสในการเข้าถึงบริการทางการแพทย์ของประชาชน และทำให้ผู้ป่วยได้รับการวินิจฉัยและรักษาได้อย่างทันท่วงที ซึ่งจะช่วยลดความเสี่ยงต่อภาวะสูญเสียการมองเห็นและความพิการในผู้ป่วยเบาหวานได้อย่างมีประสิทธิภาพ”

ทั้งนี้การพัฒนา AI สำหรับการแพทย์จำเป็นต้องใช้ข้อมูลภาพทางการแพทย์คุณภาพสูงปริมาณมาก ซึ่งที่ผ่านมามีความท้าทายในการรวบรวมและบริหารจัดการข้อมูลที่กระจัดกระจายให้เป็นมาตรฐานเดียวกัน Medical AI Consortium จึงก่อตั้งขึ้นและขับเคลื่อนให้เกิด แนวคิด “ร่วมแชร์ เชื่อม ใช้” เพื่อเป็นกลไกความร่วมมือในการแบ่งปันและใช้ประโยชน์ข้อมูลทางการแพทย์อย่างมีธรรมาภิบาล โดยมีแพลตฟอร์มข้อมูลกลางทางการแพทย์ (Medical AI Data Platform) ที่พัฒนาขึ้นโดย เนคเทค สวทช. เป็นแพลตฟอร์มกลางดิจิทัล ทำหน้าที่รวบรวม จัดเก็บ บริหารจัดการ และให้บริการข้อมูลแก่สมาชิกในเครือข่ายและคนทั่วไป ภายใต้มาตรฐานความปลอดภัยระดับสากลและมาตรฐานคลาวด์กลางภาครัฐ (GDCC)